CASE REPORT
CASE REPORT
This case illustrates the precision and efficiency of Spark Aligners in managing space opening in a growing patient.
Dr. Julie Daube*, Belgium
Dr. Julie Daube graduated in Dental Sciences from the Catholic University of Louvain in 1994. She completed extensive training in orthodontics and dentofacial orthopedics, including the CISCO program in Ypres (Belgium), where she was introduced to Ricketts’ technique and the bioprogressive functional philosophy.
Dedicated to restoring orofacial functional balance, she consistently aims to achieve facial harmony in her treatments. She obtained her Specialist qualification in Orthodontics in 2007.
After many years in private practice, Dr. Daube transitioned to digital orthodontics in 2021 and has worked with the Spark system for the past two years. She values the platform’s intuitive interface, clinical support, and high predictability of movements when carefully planned.

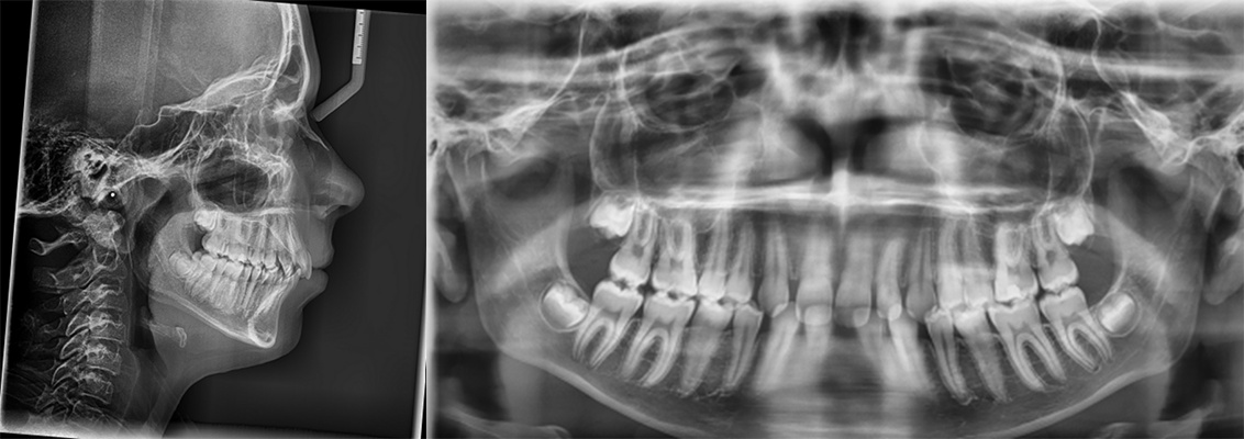
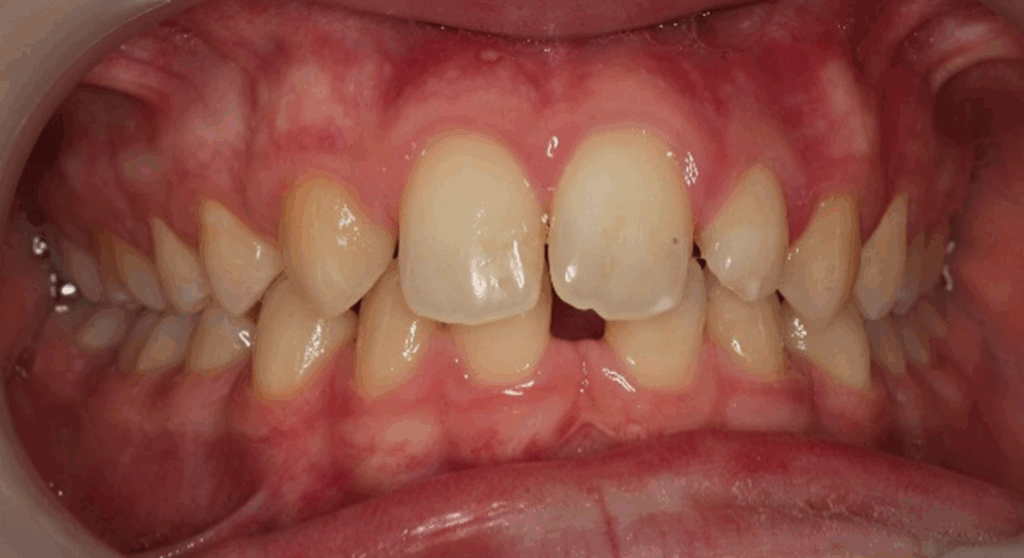
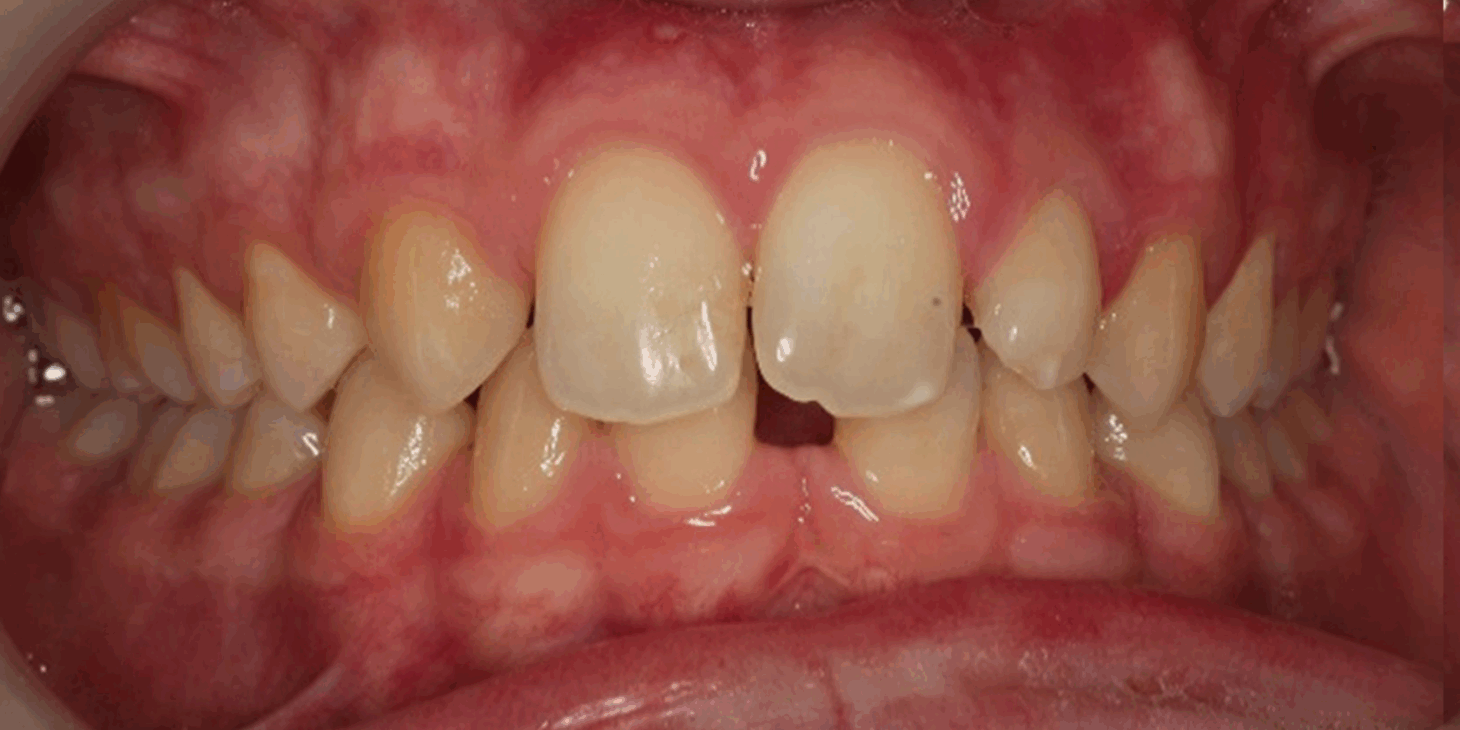
Age: 12 years
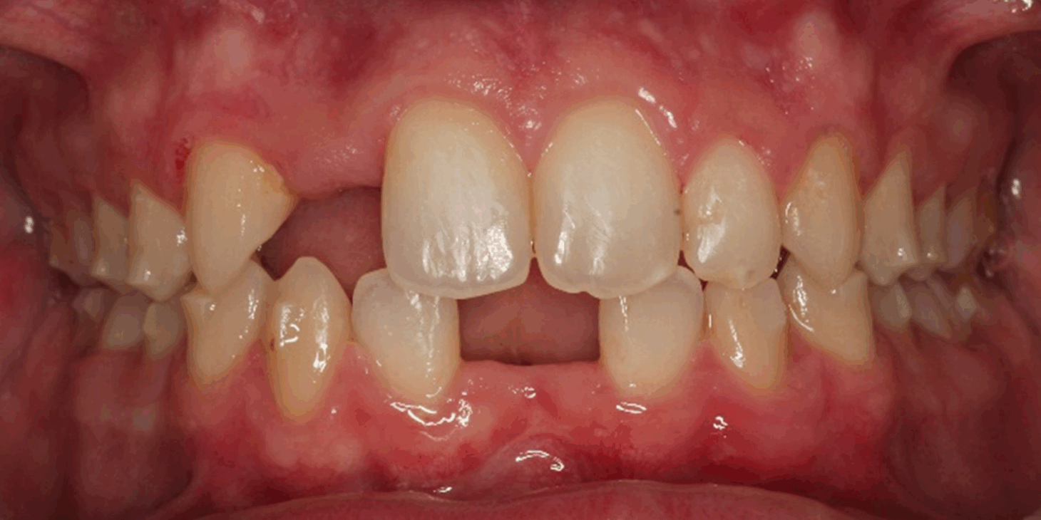
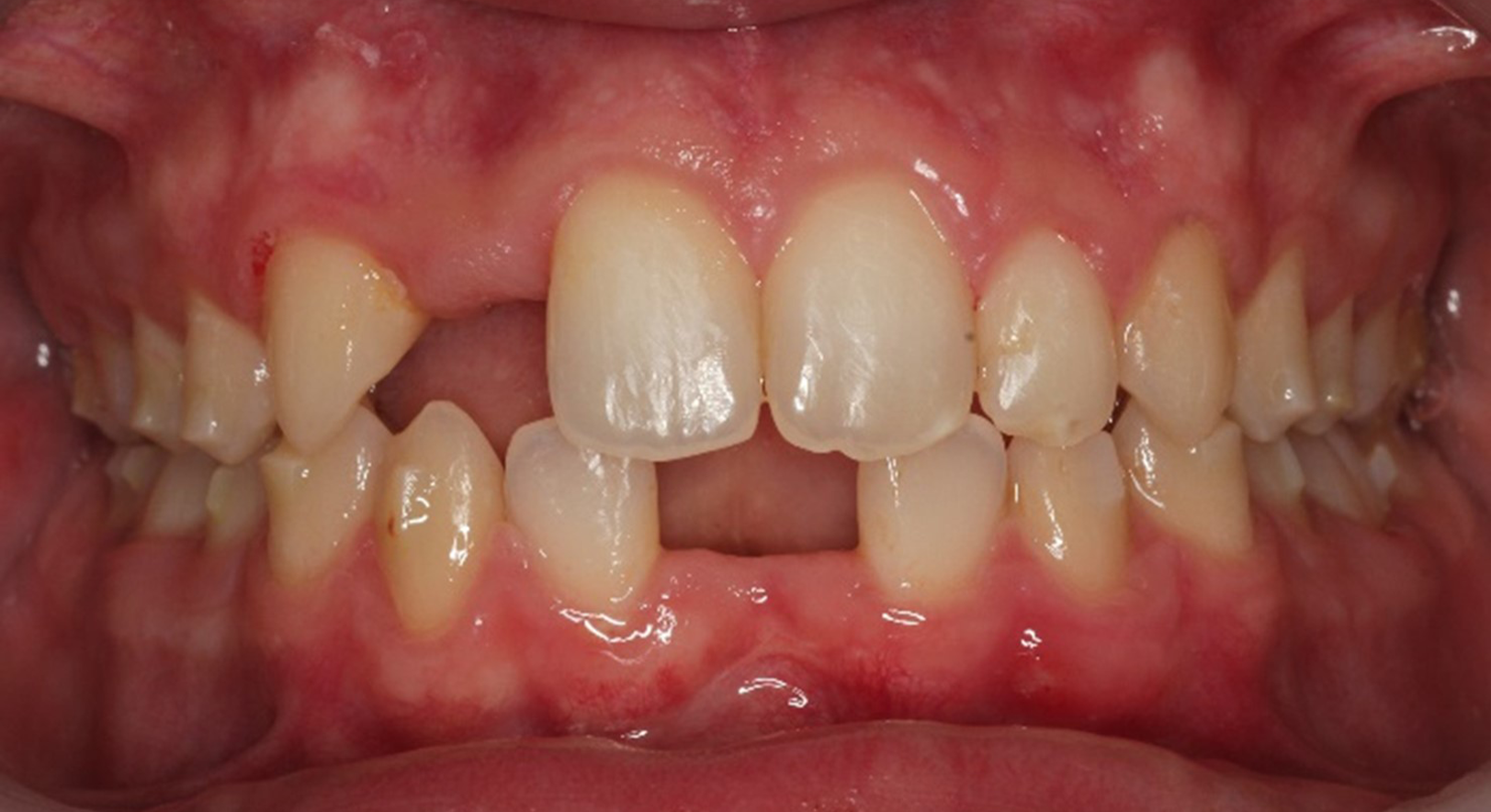
Main complaint: Aesthetic concerns and functional difficulties
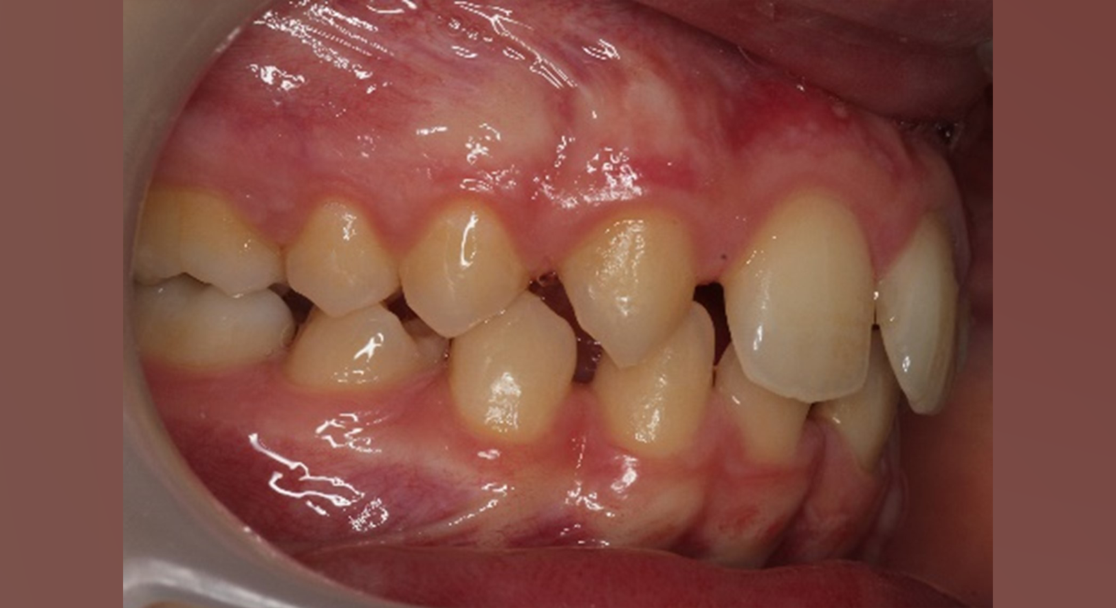
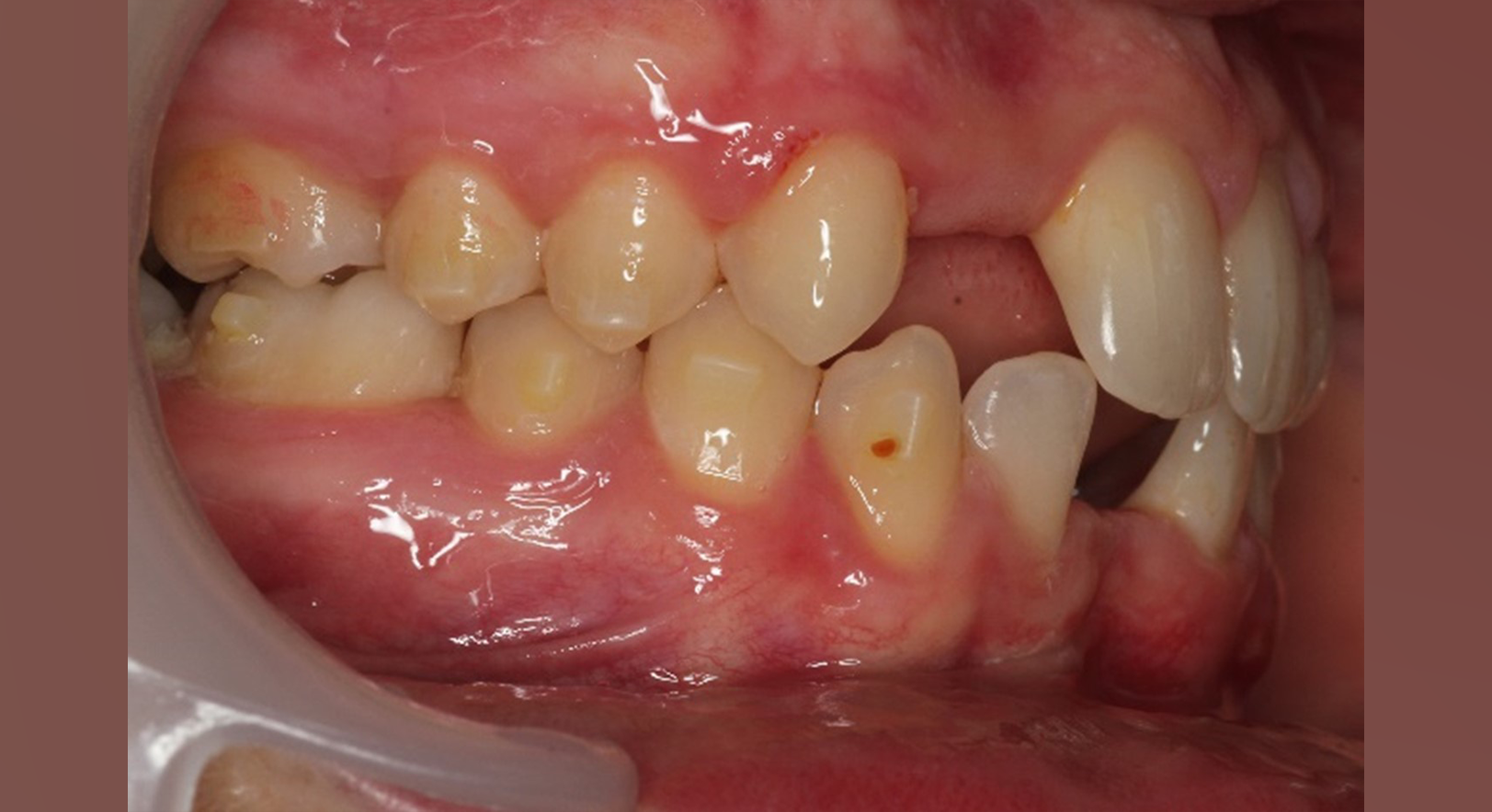
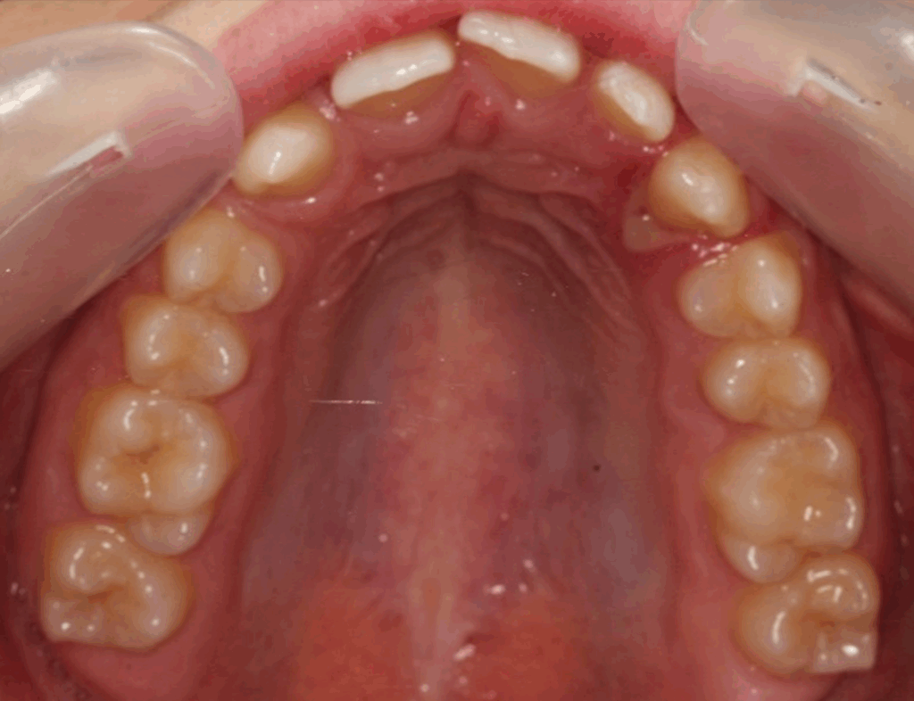
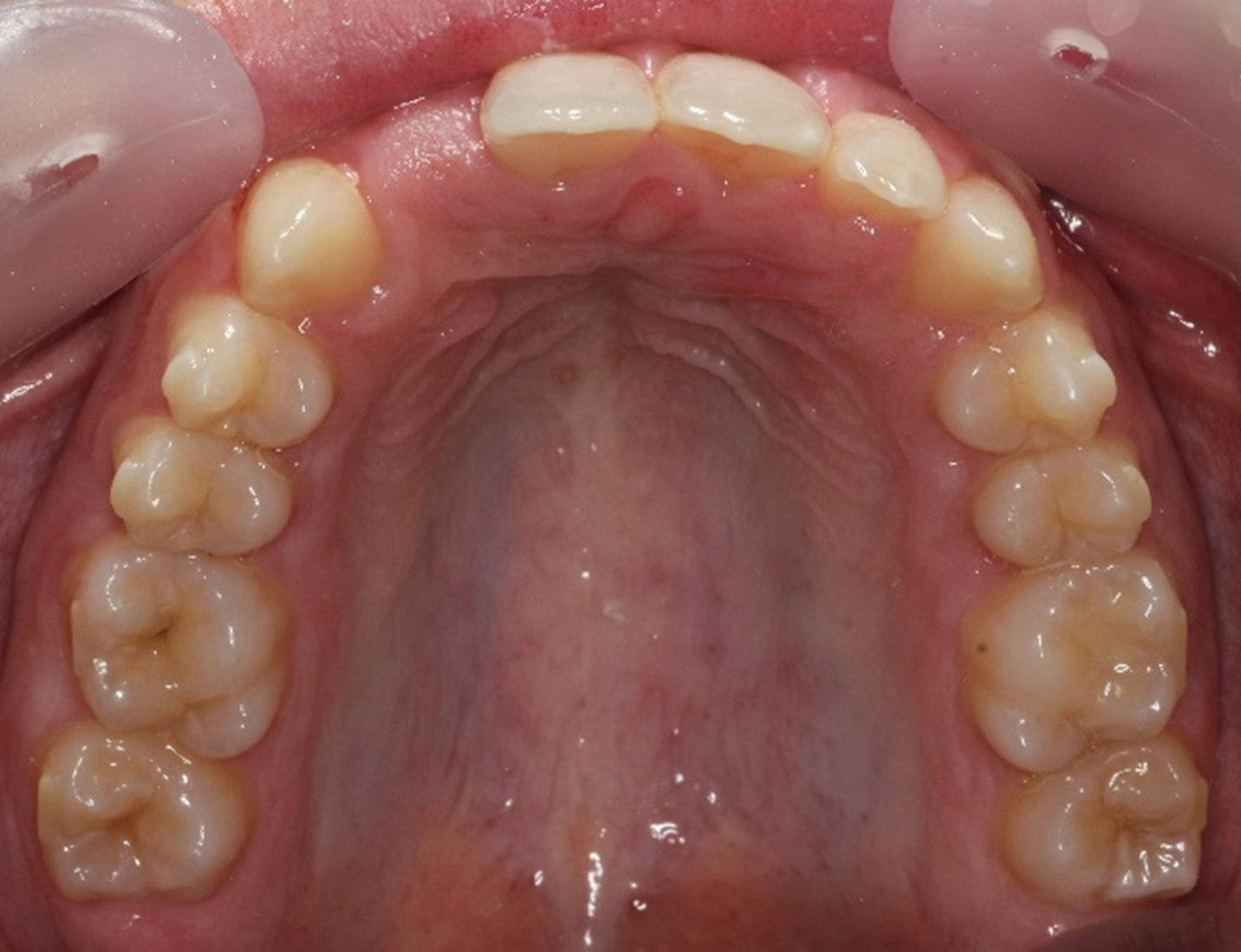
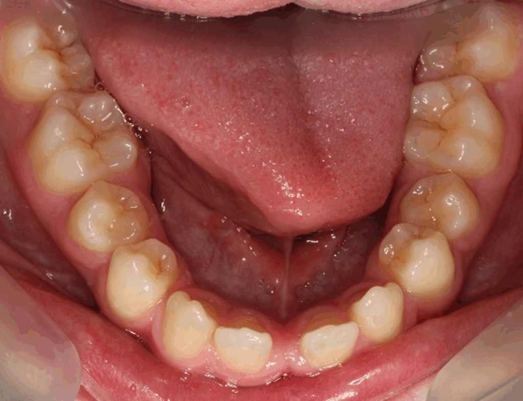
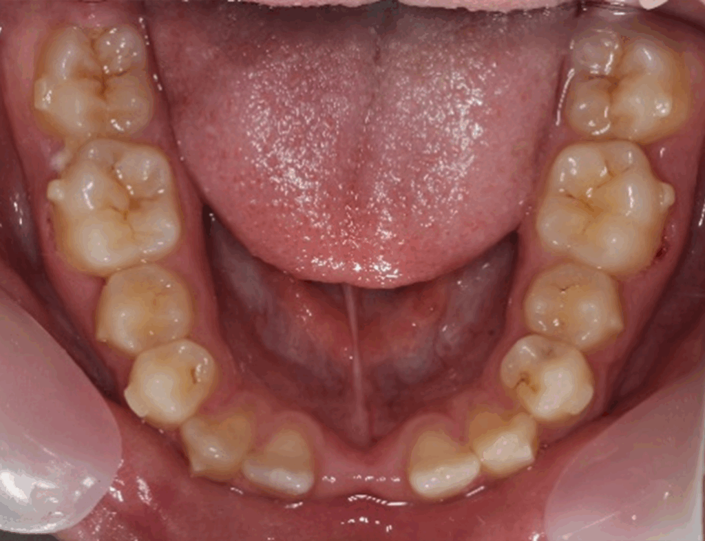
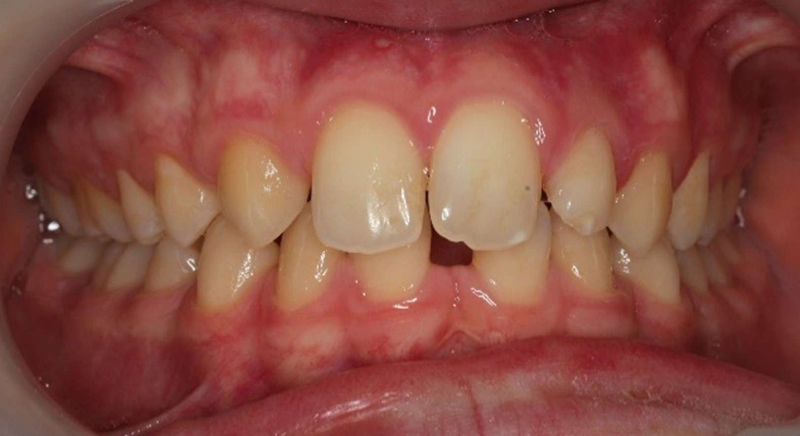
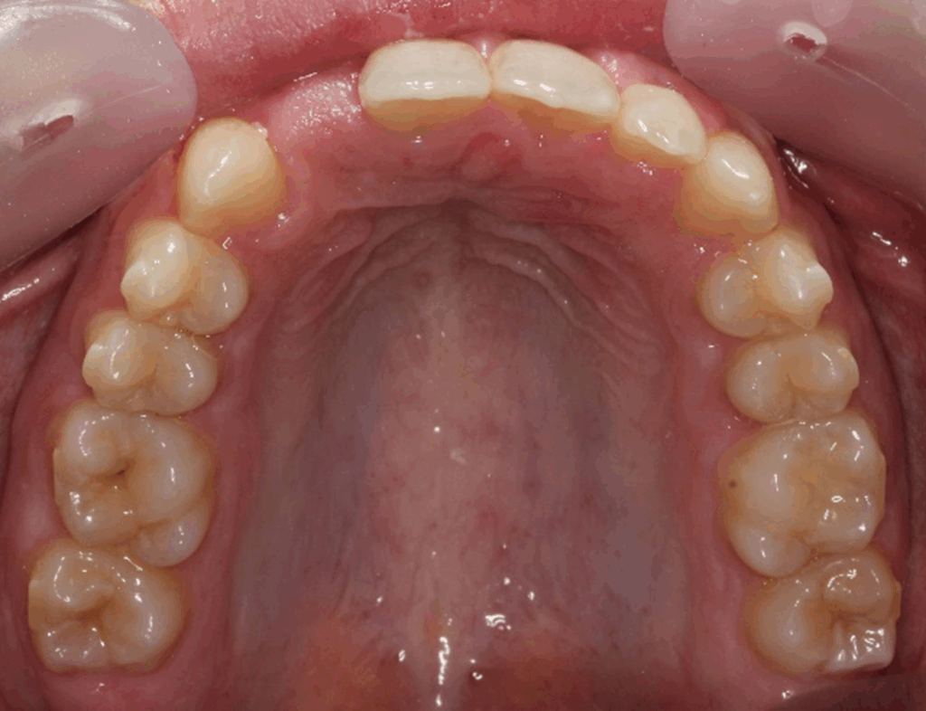
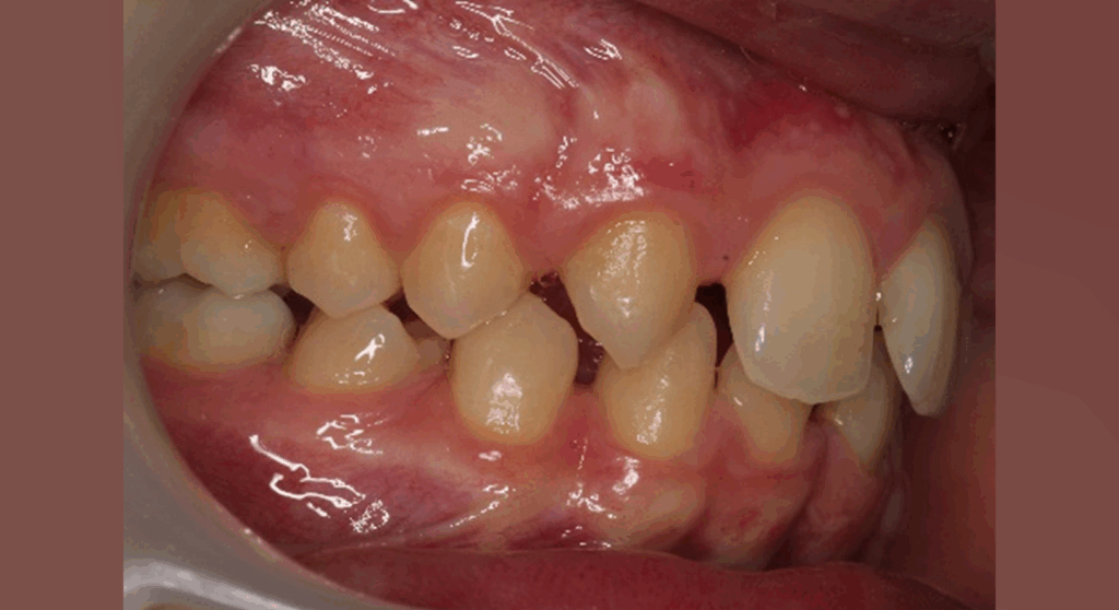
Skeletal Class II due to mandibular retrognathia, proclination of maxillary incisors, narrow arch creating a V-shaped arch, agenesis of 12, 31, 41, hyperdivergent facial pattern, moderate deep bite (2 mm), increased overjet (9 mm), asymmetric canine and molar Class II due to mandibular deviation to the left, maxillary midline deviation related to agenesis of 12, distal rotation of 35 and 45, and pronounced lower curve of Spee.
Labial incompetence, mouth breathing, tongue dysfunction
Stimulate mandibular growth, reduce overjet, correct Class II relationships, level the curve of Spee, manage space opening for agenesis of 12, 31, and 41, recenter midlines, improve oral function.
A monobloc appliance was prescribed to stimulate mandibular growth.
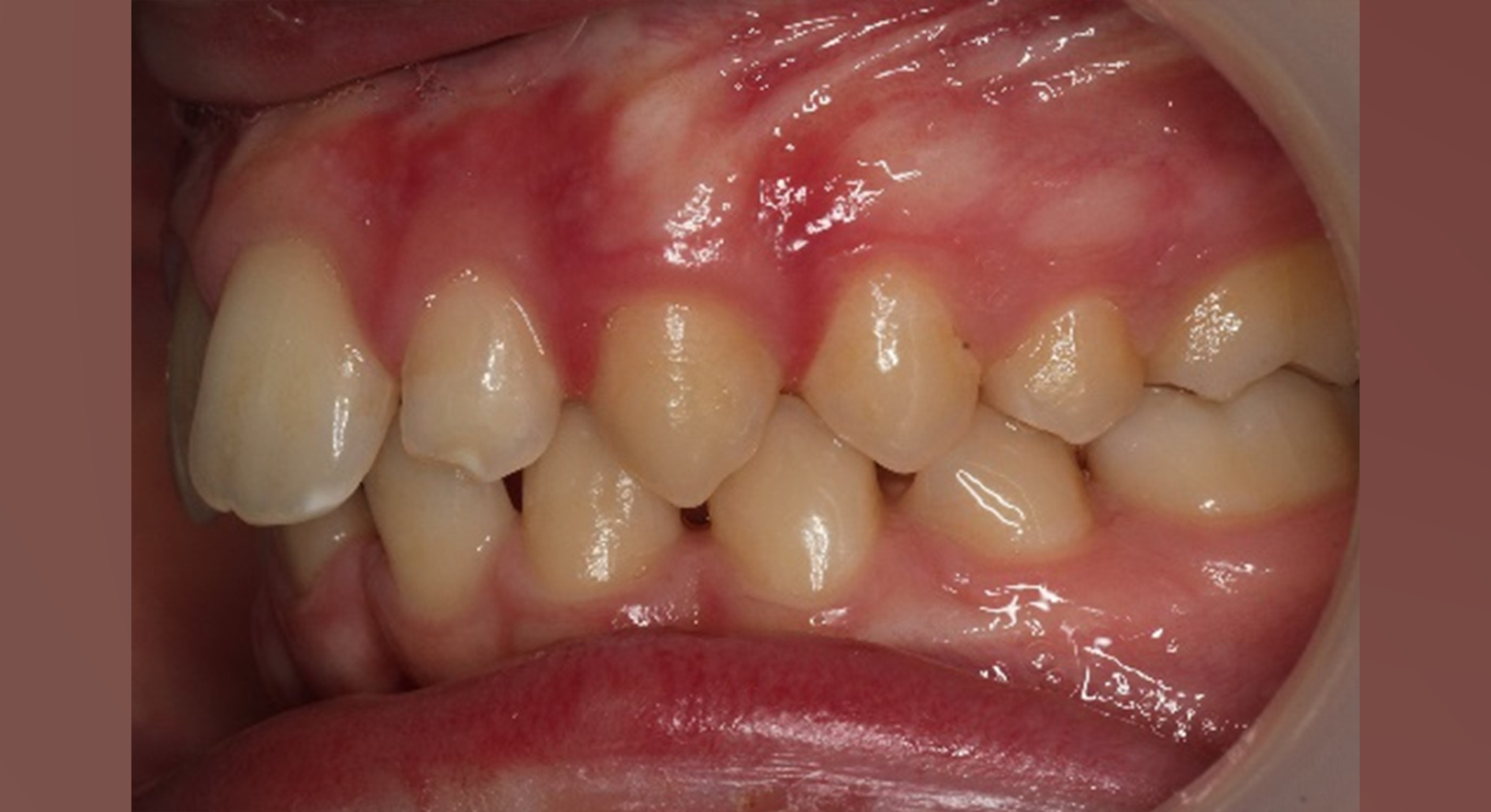
After 6 months:
Overjet reduced from 9 mm → 4 mm
Clear improvement in labial competence, nasal breathing, and tongue function.

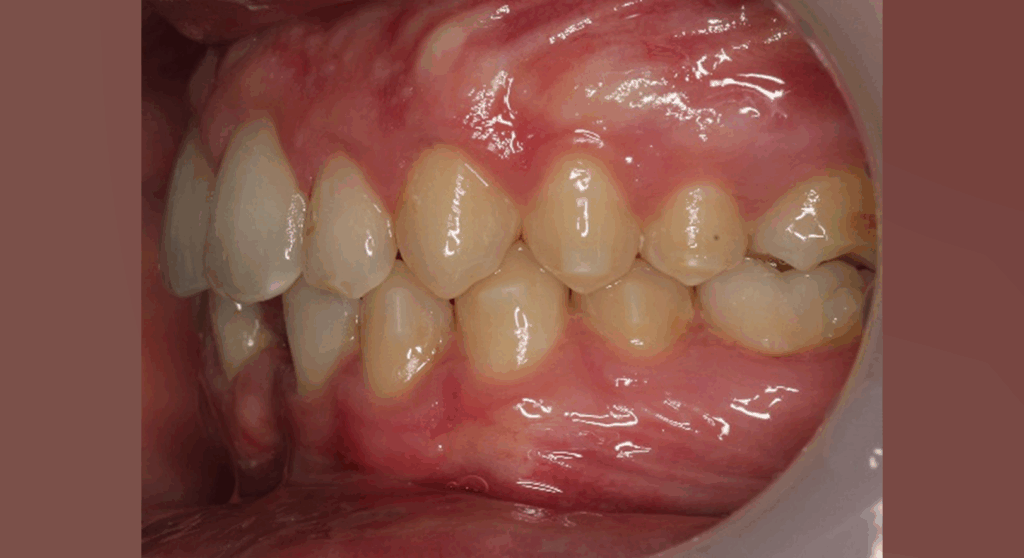
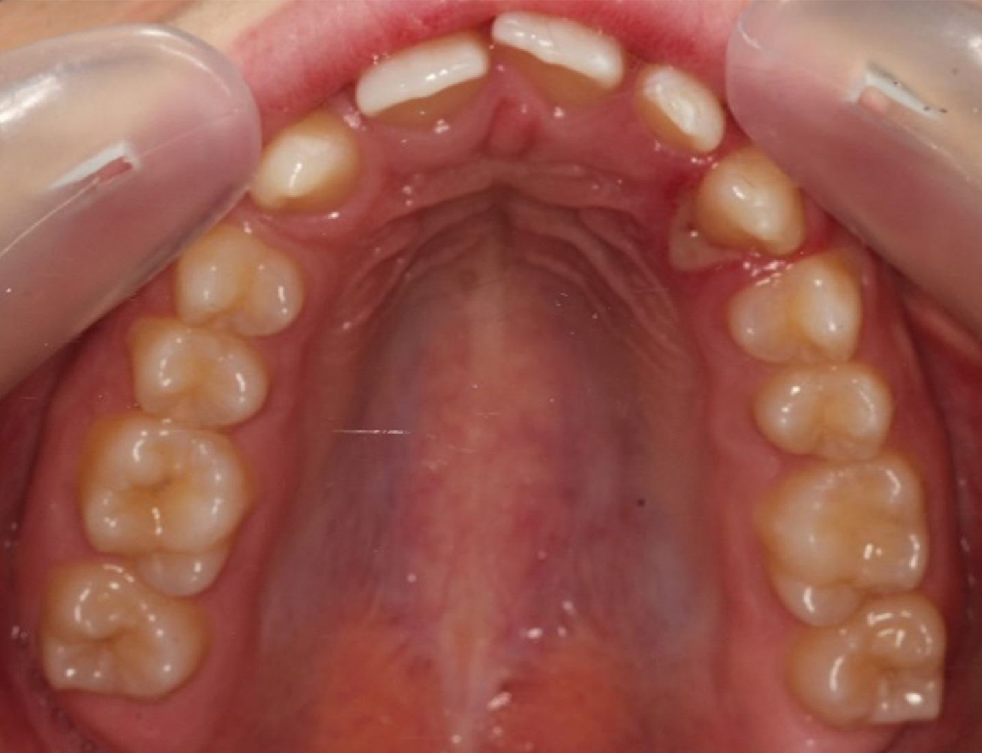
Upper arch: 20 active aligners
Transverse expansion
Derotation with mesial-out of first molars
Space opening for 12 by distalizing 13
Maxillary midline correction
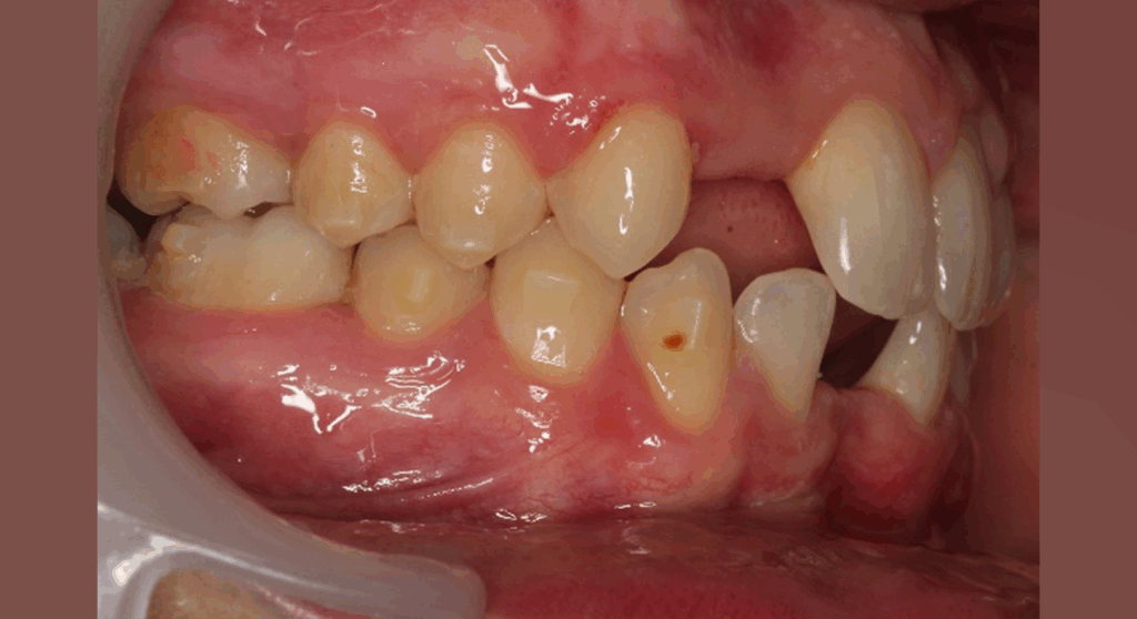
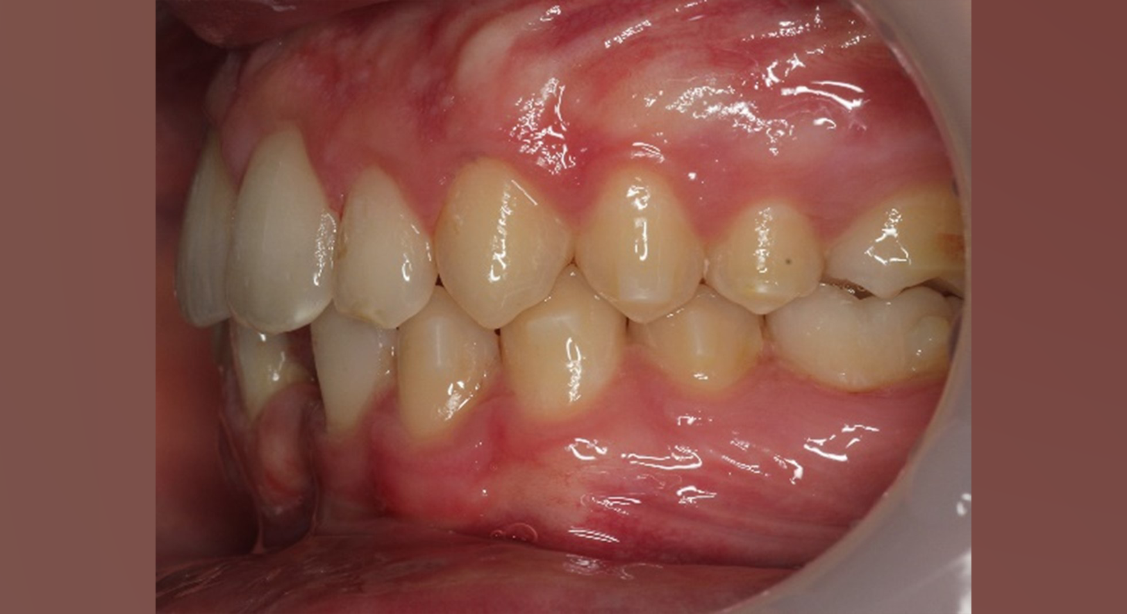
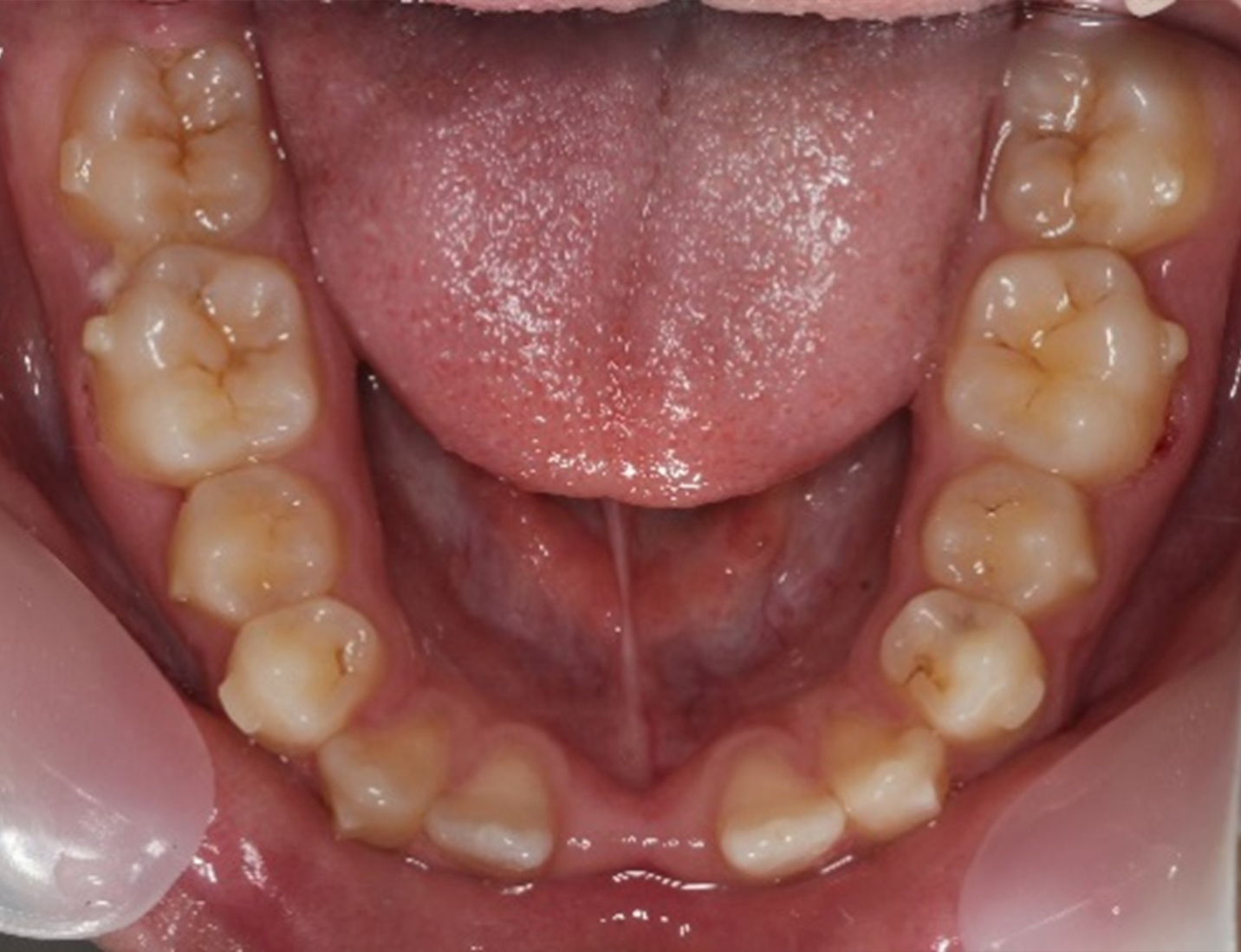
Lower arch: 31 active aligners
Incisor intrusion using frog staging
Vertical attachments on lower incisors for improved tipping control
Space opening for 31 and 41
Elastics protocol
Class II elastics: 4.5 oz, 14 hours/day
Hooks on 13 and 23, button cut-outs on lower molars
Wear Schedule: Aligners 1–2: 10 days each and remaining aligners: 7 days each
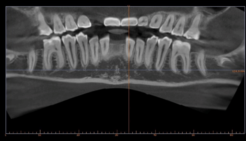
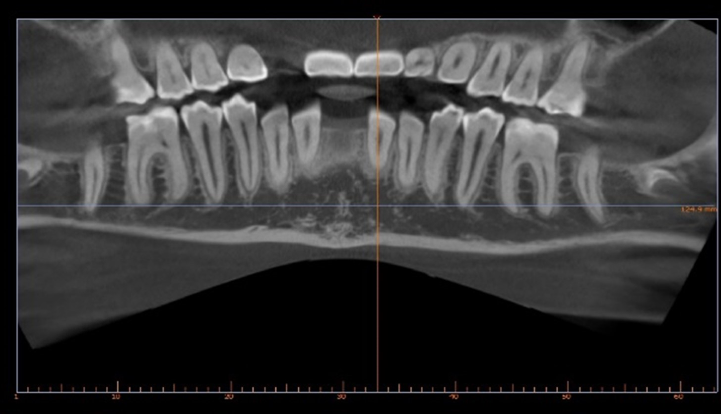
Two finishing stages were carried out after CBCT
18 aligners then 9 aligners (TruGen XR™)
Objectives:

This case demonstrates the accuracy and efficiency of Spark Aligners in:
Spark provided predictable movements, excellent aligner fit, and precise finishing, enabling successful orthodontic outcomes and future prosthetic.
* Dr. Julie Daube is a paid consultant for Ormco. The opinions expressed are those of Dr. Julie Daube. Ormco a is a medical device manufacturer and does not dispense medical advice. Clinicians should use their own professional judgment intreating their patients.
MKT-26-0339