CASE REPORT
CASE REPORT
This case report shows the successful use of Spark™ Clear Aligners to manage partially erupted teeth.
Dr. Sorina Blaj*, Romania
Meet Dr. Sorina Blaj, a skilled orthodontic specialist who graduated from Carol Davila University in Bucharest (Romania) in 1998. Under the guidance of Prof. Dr. Mariana Pacurar from Emil Palade University in Tirgu Mures (Romania), she pursued further studies in orthodontics. Dr. Blaj has been practicing dentistry since 1998 and became the director and medical coordinator of Crystal Dental Clinic in 2003. She is committed to staying informed about the latest orthodontic news and innovations and has an impressive record of continuous education worldwide. As a respected member of various professional societies, she is dedicated to providing the best care to her patients.

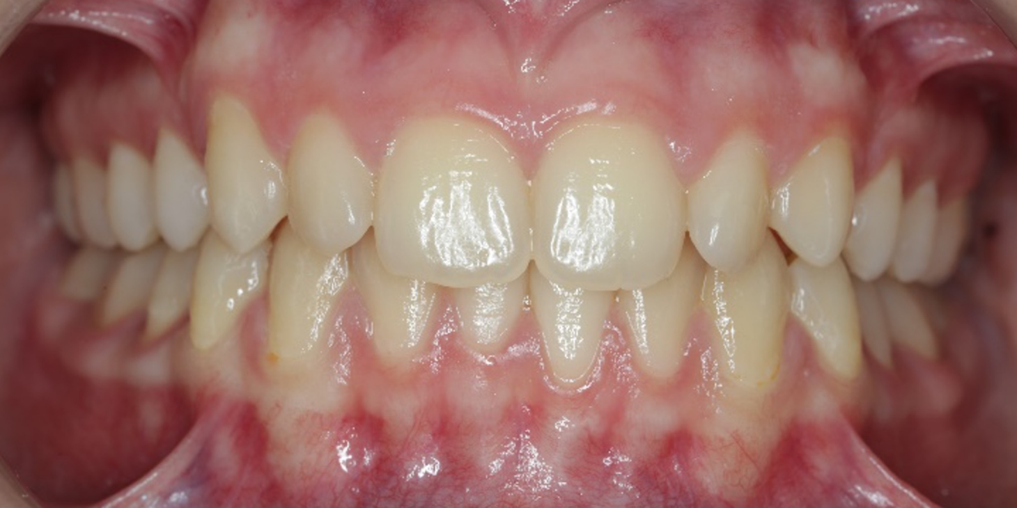
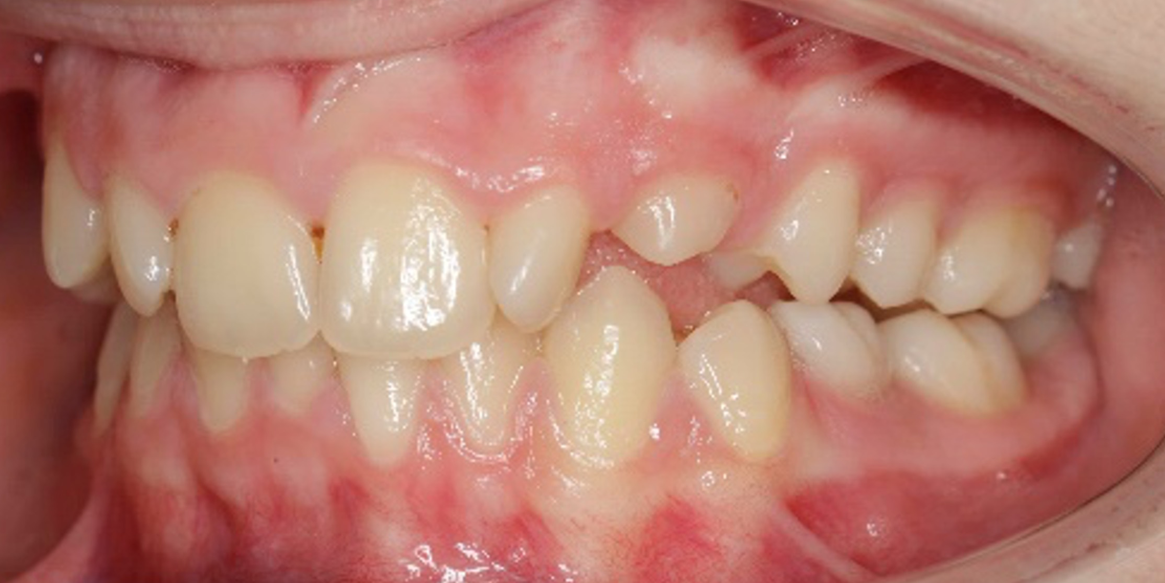
The 14-year-old female patient visited the orthodontic practice in February 2021. The chief complaint was that her upper arch was affecting her confidence in her smile. Upon examination, the patient was found to have a normodivergent facial pattern and a skeletal class II with mandibular retrusion. An intraoral examination revealed narrow arches, a class II molar and canine relationship, deep bite, retroclined upper and lower incisors, and retained teeth 63, 74, and 84.
In February 2021, when the patient was first seen, the treatment plan included the following steps:
After undergoing maxillary expansion, Dr. Sorina Blaj assessed the patient again in September 2021, and at that point, tooth 84 had exfoliated, tooth 44 had erupted, and tooth 23 had started to erupt.
After considering that 23 no longer needed to be surgically exposed, Dr. Blaj, the patient, and her parents decided to use Spark Clear Aligners to correct dental issues. The treatment began in November 2021, utilizing the 3D Approver Software™ to design a digital plan. The plan aims to:
The treatment includes sequential distalization of the maxillary teeth and mesialization of 3.6, virtual extraction of 74, composite attachments on all distalizing teeth, class II elastics, bite ramps on upper central incisors, IPR and eruption guides for teeth 23 and 35.
The Spark eruption guides are used to guide and save space for semi-erupted teeth that will naturally be brought down into occlusion or using auxiliary techniques. The software marks them with the letter “E” for easy identification.
The software determined that the patient required 35 active and 3 passive aligners (if requested). The patient was advised to wear the aligners and the class II elastics for 20 hours daily. Aligners were changed every week.
The refinement phase began after the patient‘s teeth, 23 and 35, fully erupted. The patient underwent rescanning to achieve the desired results, and a new set of aligners was planned. The upper arch
required 18 active aligners, while the lower arch needed 15 aligners. The digital plan aimed to correct any rotations, improve the torque and intrude the upper centrals to create a leveled appearance for the anterior teeth and the final overbite. Attachments were added and class II cutouts were maintained for elastics to provide anchorage. There was no need for any more IPR.
The Spark Clear Aligner system is a great option for children and teenagers with mixed dentition. Doctors can use it to treat younger patients with more flexibility and control**. The Spark TruGEN™ material delivers consistent force to move teeth efficiently while guiding semi-erupted teeth**.
* Dr. Sorina Blaj is a paid consultant for Ormco. The opinions expressed are those of Sorina Blaj. Ormco is a medical device manufacturer and does not dispense medical advice. Clinicians should use their own professional judgment intreating their patients.
** data on file
MKT-23-0771-ENG