CASE REPORT
CASE REPORT
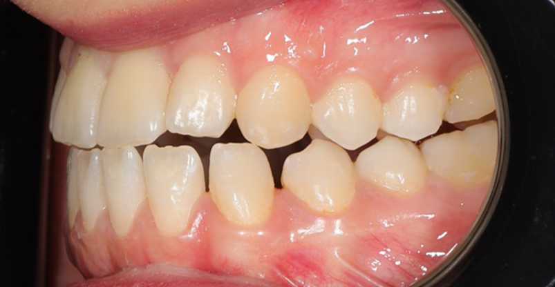
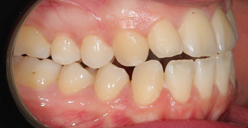
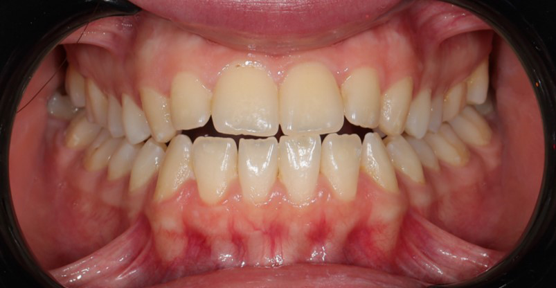
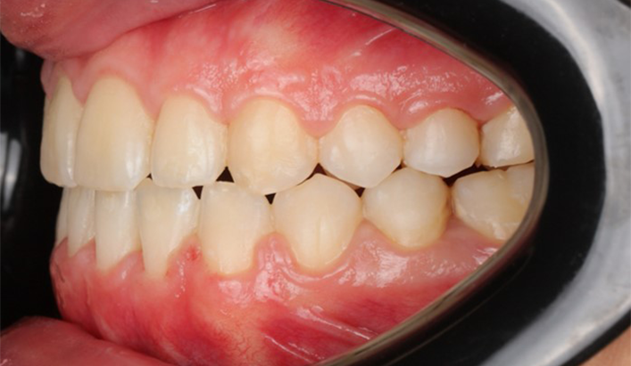
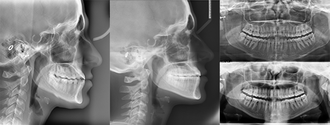
A 22-year-old female patient presented with a Class III malocclusion. She does not like her own profile. Her facial profile was straight with a slightly retrusive maxilla, the upper incisors were within normal inclination, and the lower incisors were retroclined. Bolton discrepency is on mandible for 6 teeth. A retruded upper lip and a normally positioned lower lip were noted. There was also a marked lack of midface support, and the constricted dental arches resulted in a narrow smile and pronounced dark buccal corridors.
Dr. OK regularly teaches biomechanics to postgraduate orthodontic students and has a solid background in the torque philosophy of the Damon Ultima™ system, and this case allowed him to further refine and illustrate that approach in a clinical setting.
He combines university-based teaching, clinical practice, and advanced digital orthodontics, with extensive hands-on expertise in Damon Ultima™ and clear aligner systems, focusing on smile arc protection and torque-driven 3D control in complex malocclusions. He is particularly interested in biomechanics, integrating bio-progressive systems, digital planning (CBCT and aligner software), and evidence-based biomechanics to deliver stable, esthetic results.
As an Associate Professor of Orthodontics, he teaches graduate and undergraduate courses in orthodontics, digital orthodontics, and biomechanics, while supervising clinical training and research projects in both fixed appliance and aligner therapy. Clinically, he provides premium, fast-track orthodontic treatments using Damon Ultima™, leading a fully digital workflow that includes intraoral scanning, 3D planning, and customized treatment protocols.
Additionally, in Türkiye, he has served as an invited speaker at Damon Ultima™ System courses addressing torque-focused smile arc design and bracket positioning in adult Class III and complex cases, non-surgical management of open bite and transverse problems using full-expression archwires and controlled elastics, and gummy smile treatment utilizing intrusion biomechanics and VectorTAS™ TAD protocols when indicated.

The treatment objectives were to:
Gaining overjet: Use forward-activating archwires to advance the proclined upper incisors and establish an adequate overjet.
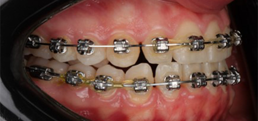
Compensating proclination: Place retrocline brackets on UL2, UL1, UR1, and UR2 to counterbalance the created proclination.
Managing Bolton excess: Address the mandibular Bolton excess by increasing the mesiodistal expression on the upper canines, selecting procline brackets for UL3 and UR3.
Lower anterior control: To compensate for potential retroclination of the lower incisors during consolidation, use procline brackets on L3, L2, and L1 bilaterally.

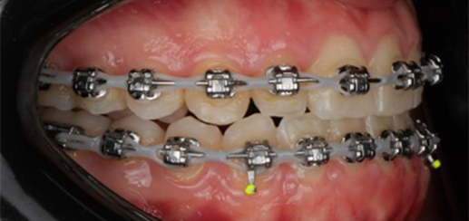
Initial leveling in the maxillary arch was carried out with a 0.014 CuNiTi archwire. This was followed by a 0.018 CuNiTi wire, with stoppers positioned mesial to the molars and activated to provide protrusion of incisors. The mandibular arch was then bonded and initial alignment was achieved with a 0.014 CuNiTi wire, then both jaws are progressing to 0.014 × 0.0275 CuNiTi and subsequently 0.018 × 0.0275 CuNiTi for torque control.
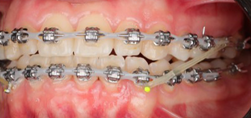
Finishing was completed with a 0.018 × 0.0275 TMA archwire in conjunction with Class III elastics.
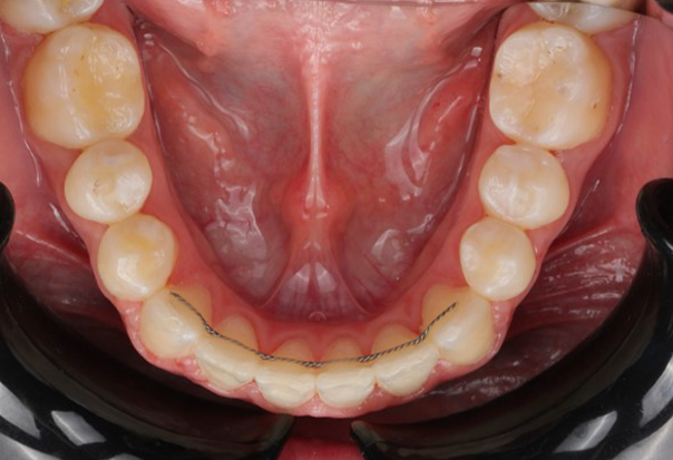
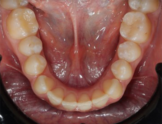
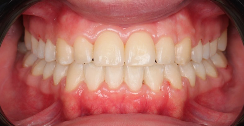
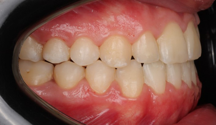
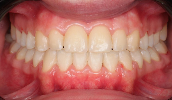
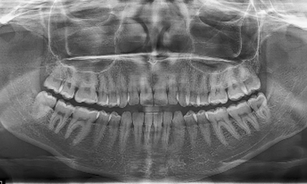
At the end of treatment, the patient’s occlusion was corrected to Class I molar and canine relationships with a physiological overjet and overbite. Irregularities in both arches were eliminated, arch forms were coordinated, and incisor torque was effectively controlled to position the roots centrally within the alveolar bone, enhancing stability. Satisfactory intercuspation was achieved in both the anterior and posterior segments, with maintenance of midline coincidence and periodontal health throughout treatment. The case was finished and transitioned into the retention phase using fixed retainers in the maxillary and mandibular anterior regions.
This case demonstrates that, in the Damon Ultima system, appropriate torque selection provides a rapid and efficient treatment modality, offering enhanced biomechanical control for the clinician and a shorter, more comfortable treatment experience for the patient. In particular, root movements and the finishing phase, which require meticulous management in Class III cases, were completed in a predictable and efficient manner, with high levels of comfort for both the clinician and the patient through the use of carefully selected torque prescriptions.
MKT-26-0360
* Dr. Ufuk OK is a paid consultant for Ormco. The opinions expressed are those of Dr. Ufuk OK. Ormco is a medical device manufacturer and does not dispense medical advice. Clinicians should use their own professional judgment intreating their patients.