CASE REPORT
CASE REPORT
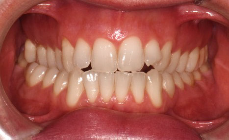
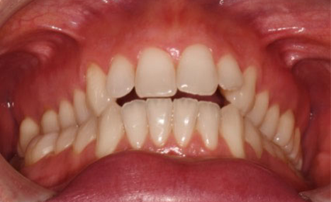
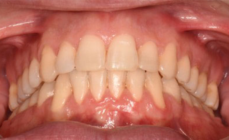
A 38-year-old male patient sought orthodontic treatment with both functional and esthetic concerns. His main complaints included the appearance of an inverted smile arc, reduced incisor display, and a general lack of harmony in his smile.
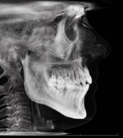
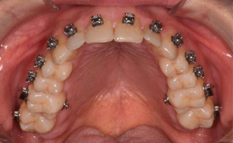
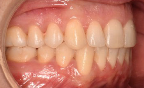
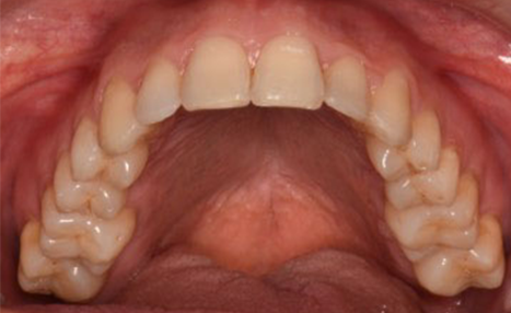
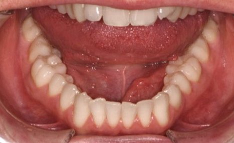
The extraoral examination revealed a long facial type with an increased lower facial third, nasolabial folds accentuated by insufficient midface support, and broad buccal corridors due to maxillary compression. Intraoral analysis showed a posterior crossbite, negative torque on posterior teeth, and an altered occlusal balance. Radiographic and cephalometric evaluation confirmed the clinical findings, with an increased mandibularplane angle and mandibular posterior rotation. This rotation contributed to a convexity of +4 mm, although the underlying problem was a retruded maxilla with insufficient midface support. Vertical facial height was also increased. Importantly, the temporomandibular joint evaluation showed a posterior condylar position with intact cortical bone, no pain, and no joint sounds.
Dr. Iciar Llaca (Oviedo, Spain) is an orthodontist dedicated to excellence in facially guided orthodontics, esthetics, and functional occlusion. She directs LLACA Ortodoncia, a family practice founded in 1984, and is the founder of LLACA Masterclass, an international educational platform for orthodontists. With extensive experience in self-ligation, Damon System and Spark aligner, Dr. Llaca lectures internationally on advanced biomechanics, smile design, and finishing strategies.

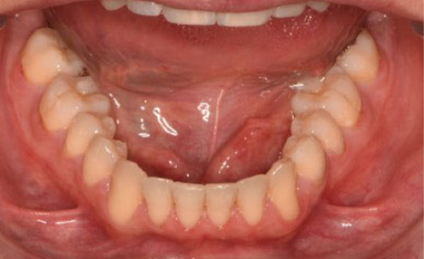
(Images: Intraoral Initial)



The objectives of treatment were clearly defined:
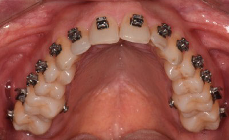
To achieve these goals, the Damon Ultima system was selected for its precision in torque control and its capacity for individualized bracket selection. A Smile Arc Protection (SAP) strategy guided bracket placement from the start, combined with careful archwire sequencing and progressive mechanics.
We don’t see it as a treatment option in this case
Molar intrusion to correct the open bite






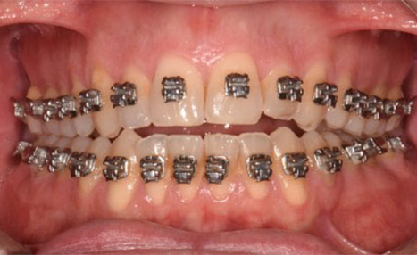
From the outset, bracket placement was the cornerstone of the treatment strategy. The upper central incisors were bonded 1–1.5 mm more gingivally than the canines, with laterals slightly lower, to recreate a natural curvature and protect the smile arc. Variable torque brackets were selected individually for each anterior tooth, according to its specific requirements. This feature of the Damon Ultima system represents a significant advantage: it combines the low-friction benefits of self-ligation with earlier expression of anterior torque. When paired with the rapid arch development characteristic of the system, this approach allows for the ideal torque to be achieved very early in treatment. As a result, proclination of the incisors is effectively avoided while maintaining efficient alignment.
The initial alignment was performed with light CuNiTi archwires, promoting gradual expansion and alignment while avoiding heavy forces. Progressively, the treatment advanced to the final 0.018 x 0.0275 stainless steel archwires, ensuring full torque expression and establishing control over the occlusal plane.
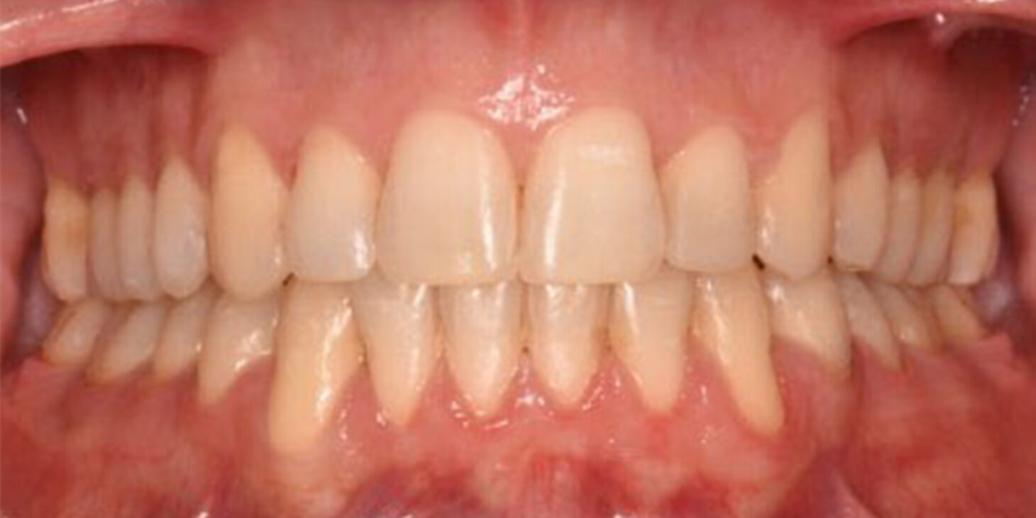
Given the patient’s vertical pattern and open bite tendency, posterior bite turbos were incorporated early to control extrusion and stabilize the vertical dimension. As treatment progressed, refinements included rebonding the upper anterior brackets to fine-tune torque and smile arc display. Crossbite elastics were also introduced to correct the transverse discrepancy in a controlled manner.


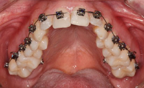
The final 4 months were focused on arch coordination and detailling.
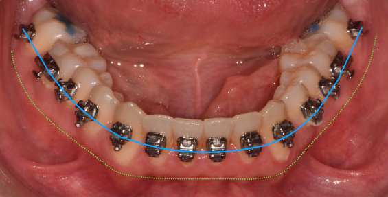
Individually coordinated stainless steel archwires, using the WALA ridge described by Dr. Andrews as the reference
(image: Finishing wires)

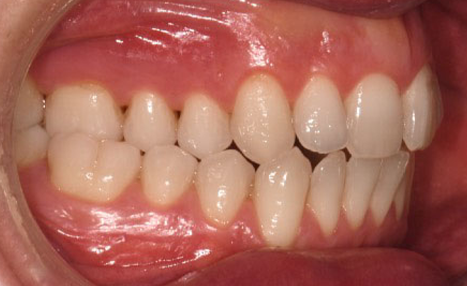
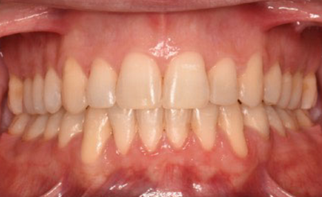
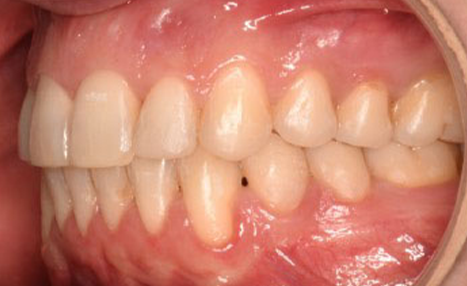
After 16 months of treatment, the transformation was evident:

(Image: 2 years after finishing)
This case demonstrates how precision in bracket placement and variable torque selection with Damon Ultima can fundamentally influence treatment efficiency and outcomes. By addressing torque control and smile arc from the very first appointment, round-tripping was minimized, biomechanics were optimized, and finishing required only fine adjustments rather than compensations.
The Damon Ultima system allowed the clinician to align facial esthetics, occlusal function, and long-term stability in a challenging adult case, underscoring the value of intentional planning and execution.
Orthodontic success depends not only on wire sequences or finishing mechanics but on the strategic decisions made at the bonding appointment. In this case, Damon Ultima provided the control necessary to achieve predictable, efficient, and esthetically pleasing results.
MKT-25-1390
* Dr. Iciar Llaca is a paid consultant for Ormco. The opinions expressed are those of Dr. Iciar Llaca. Ormco is a medical device manufacturer and does not dispense medical advice. Clinicians should use their own professional judgment intreating their patients.